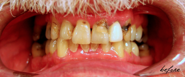
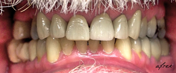
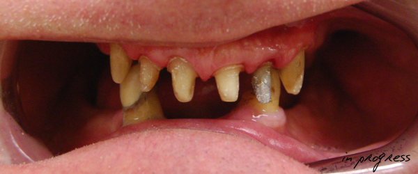
Cosmetic Dentistry
Dr Hashem provides general dentistry services. He is an associate dentist at Dr Scott Mason's office in Grapevine, TX.
New Smiles






Dr Hashem provides general dentistry services. He is an associate dentist at Dr Scott Mason's office in Grapevine, TX.





